İyi Huylu Tümör Büyürmü Belirtileri ve Tedavisi
İyi huylu tümörler, genellikle vücutta ciddi sağlık sorunlarına yol açmayan yavaş büyüyen kitlelerdir. Belirtileri, bulunduğu yere ve büyüklüğüne göre değişiklik gösterebilir. Bu içerikte, iyi huylu tümörlerin belirtileri, tanı yöntemleri ve tedavi seçenekleri hakkında bilgi verilecektir.
İyi Huylu Tümör Büyümesi: Belirtileri ve Tedavisiİyi huylu tümörler, genellikle vücudun herhangi bir yerinde ortaya çıkabilen ve çevre dokulara zarar vermeyen, yavaş büyüyen kitlelerdir. Bu tür tümörler, kanserli hücrelerin oluşturduğu malign tümörlerden farklı olarak, vücutta ciddi sağlık sorunlarına yol açmazlar. Ancak, bazı durumlarda iyi huylu tümörler büyüyerek rahatsızlık hissi yaratabilir veya komşu organları etkileyebilir. Bu makalede, iyi huylu tümörlerin belirtileri, tanısı ve tedavi yöntemleri detaylandırılacaktır. İyi Huylu Tümörlerin Belirtileriİyi huylu tümörlerin belirtileri, tümörün bulunduğu yere ve büyüklüğüne bağlı olarak değişiklik gösterebilir. Genel olarak, aşağıdaki belirtiler gözlemlenebilir:
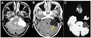
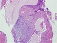
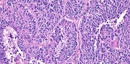
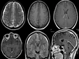
Bu belirtiler, her zaman bir tümörün varlığını göstermez. Ancak, sürekli bir rahatsızlık hissi veya anormal bir değişiklik durumunda, bir sağlık uzmanına başvurmak önemlidir. İyi Huylu Tümörlerin Tanısıİyi huylu tümörlerin tanısı için çeşitli görüntüleme yöntemleri ve biyopsi işlemleri kullanılabilir. Tanı sürecinde kullanılan yaygın yöntemler şunlardır:
Bu yöntemler, tümörün boyutunu, yerini ve yapısını değerlendirmek için kullanılır. Biyopsi, tümörün iyi huylu mu yoksa kötü huylu mu olduğunu belirlemek için kritik bir adımdır. İyi Huylu Tümörlerin Tedavi Yöntemleriİyi huylu tümörlerin tedavi yöntemleri, tümörün büyüklüğüne, yerine ve hastanın genel sağlık durumuna bağlı olarak değişiklik gösterebilir. Tedavi seçenekleri arasında:
Cerrahi müdahale, genellikle iyi huylu tümörlerin tedavisinde en etkili yöntemdir. Tümör çıkarıldıktan sonra, hastalar genellikle hızlı bir iyileşme süreci geçirirler. Bazı iyi huylu tümörler ise, tedavi gerektirmeden yalnızca izlenebilir. Sonuçİyi huylu tümörler, genellikle ciddi sağlık sorunlarına yol açmamakla birlikte, bazı durumlarda rahatsızlık yaratabilir. Belirtiler, tanı ve tedavi yöntemleri hakkında bilgi sahibi olmak, hastaların sağlıklarını korumaları açısından büyük önem taşımaktadır. Herhangi bir anormallik hissedildiğinde, mutlaka bir sağlık uzmanına danışılması önerilmektedir. Ekstra Bilgiler |















































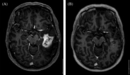
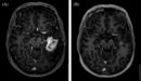
Annemin kafasında tmör var dedi doktoru kötü huylu mu iyi huylumu bioksi sonucunu bekliyoruz kafa da iyi huylu da çıkabiliyor mu parça almadan önce kafa ağrısı vardı annemde alınalı on gün oldu kafa Ağrı sı yok ne yapacağımızı bilemiyoruz bize yardımcı olabilirmisiniz
Hüsnü bey merhabalar iyi günler dilerim. Kafa dediğiniz kısmı sanırım beyin olarak düşünüyorum. Bu bölgede çıkan tümörler, benign olarak adlandırılan iyi tümörler de olabilir; malign adı verilen kötü huylu tümörler de olabilir. Bunu anlamanın en iyi yolu biyopsi sonucunu beklemektir. Çıkan sonuca göre, doktorunuz uygun bir tedavi planı oluşturacaktır. Sağlıcakla...
Merhaba Hüsnü Bey, meydana gelen kistler kötü huylu da olabilir iyi huylu da. Bu tamamen gelecek olan biyopsi sonucunda karşımıza çıkacaktır. Bu nedenle sabırla beklemekte fayda vardır. Ameliyatlı olan noktanın enfeksiyon kapmaması için şuan buna odaklanıp iyi bir bakım yapmanız tavsiye edilmektedir.